年轻小伙突然“失声”?真相竟是......

发布时间:2024-03-07 阅读:

小甘(化名)是一名在校大学生,近日,一天早上起床时突然发现自己发不出声音,咽不下东西,同伴发现后,便立即拨打120求助,送往桂林医学院第二附属医院。

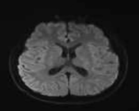
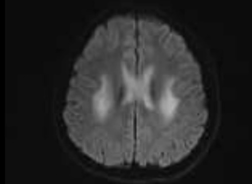
经过入院头颅核磁共振检查提示,小甘胼胝体、两侧内囊后肢、侧脑室体部及后角旁白质异常信号,经神经内科医生会诊后转至神经内科住院。

治疗前

入院后,小甘仍不能讲话、咽不下东西、不能进食,家属心急如焚。小甘转来神经内科前有低热情况,医生详细询问病史后得知小甘入院前有感冒发热的病史,为查明病因,医生为他进行了腰椎穿刺术、脑脊液的各项相关检查,检查均未发现异常。血清病毒检测显示患者巨细胞病毒IgG阳性,立即给予抗病毒治疗。经过针对性的治疗后,第二天小甘便能够说话、吞咽食物。

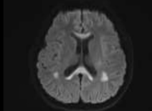
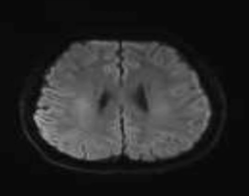
神经内科负责人张冲综合分析患者病史、体格检查、治疗后病情变化及头颅磁共振所示双侧对称性细胞毒性水肿异常信号,考虑患者诊断为可逆性胼胝体压部病变综合征(RESLES-2型)。治疗一周后小甘语言及吞咽功能恢复正常,复查头颅核磁共振可见小甘之前脑内对称性异常信号基本消失。

治疗后

什么是可逆性胼胝体压部病变?

可逆性胼胝体压部病变综合征是一种由各种病因所致、无特异性临床表现、累及胼胝体压部的一种少见的临床影像综合征,可分为RESLES-1型、RESLES-2型。RESLES-2型更为少见,指除胼胝体压部外,病灶合并出现在胼胝体膝部、体部甚至双侧对称脑白质。RESLES好发于儿童及青年,病因多样,常见病因有感染、代谢紊乱、癫痫,其他罕见病因有急性中毒、使用化疗药物、使用抗精神分裂药物、草氨膦中毒 、神经性厌食、维生素B12缺乏、系统性红斑狼疮、妊娠血管病、溶血性尿毒症、川崎病、吉兰-巴雷综合征等。该病的临床特征缺乏特异性,对因治疗普遍预后良好。

在此,桂林医学院第二附属医院神经内科提醒,如有感染病史且出现头晕、头痛、发热、呕吐,精神障碍、吞咽困难、声音沙哑等情况,应及时到神经内科门诊就诊。

桂林医学院第二附属医院神经内科是广西壮族自治区医疗卫生重点(培育)学科,国家神经系统疾病临床医学研究中心脑血管病精准双抗应用单位,华南眩晕中心联盟理事单位,广西神经免疫亚专科联盟成员单位、广西癫痫与脑电图专科联盟成员单位。科室成立于2009年,附有神经电生理室,拥有一支从事神经病学临床、基础研究及教学等工作的高素质和稳定的人员队伍。科室医疗技术力量雄厚,业务精湛,充分利用该院国家级三级甲等综合医院的优势,为神经系统疾病患者提供安全、合理、有效、精准个体化的诊疗及优质护理服务。

责任编辑:董美玲
相关信息
合作机构
生活网简介 | 网站地图 | 广告价格 | 联系我们 | 法律声明 | 建站服务 | 投稿